어금니 크라운 비용과 효과, 반드시 확인해야 할 점
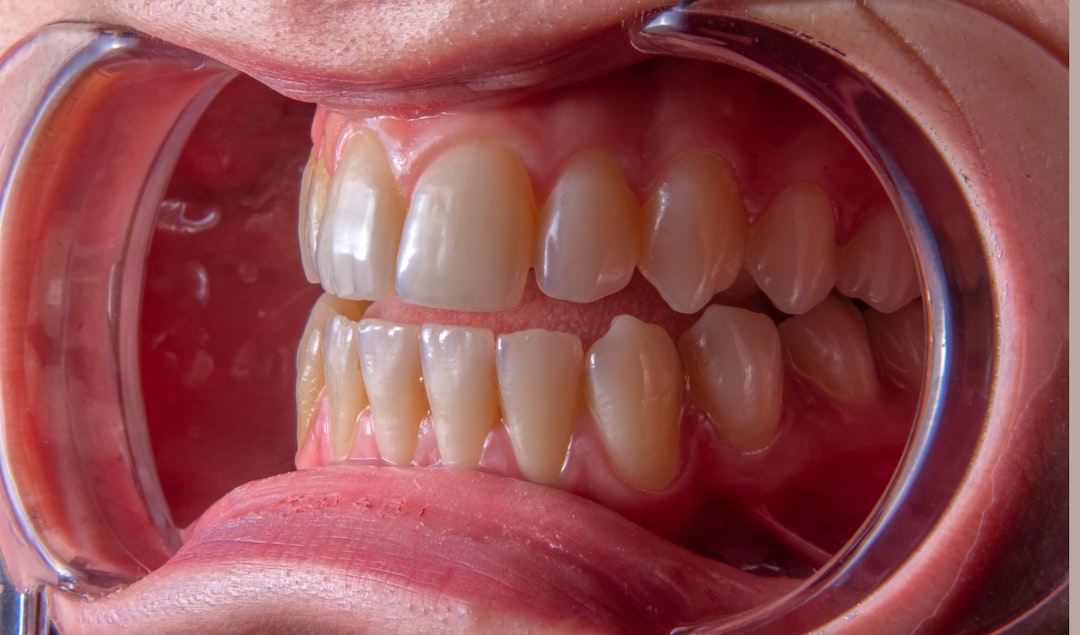
어금니 크라운의 정의와 필요성
어금니 크라운은 손상된 어금니를 보호하고 복원하는 데 필요한 치과 치료 방법 중 하나입니다. 이는 특히 치아가 심하게 부식되거나 파손된 경우에 매우 유용하게 사용됩니다. 어금니 크라운은 치아의 형태를 복원하고 강도를 높임으로써 이를 통해 건강한 치아의 기능을 다시 회복할 수 있도록 도와줍니다. 또한, 심미적인 측면에서도 매력적인 외관을 유지하는 데 기여합니다.

일반적으로 어금니 크라운은 금속, 세라믹, 또는 복합수지 등 다양한 재료로 만들어지며, 선택하는 재료에 따라 사용 성능 및 비용이 다를 수 있습니다. 따라서 어금니 크라운을 선택할 때는 본인의 상황에 맞춘 선택이 중요합니다. 특히, 크라운의 가격은 재료와 시술 방법에 따라 차이가 크기 때문에, 사전에 충분한 정보를 수집하고 전문가의 조언을 받는 것이 필수적입니다.
어금니 크라운 후 통증과 관리법
어금니 크라운 시술 후에는 일정한 통증이 동반될 수 있습니다. 이 통증은 보통 시술 후 몇 일 내에 가라앉지만, 만약 통증이 심하거나 계속해서 지속된다면 치과에 방문해 추가적인 진찰을 받아야 합니다. 어금니 크라운 후 통증의 원인은 다양한데, 이는 크라운 착용이 주변 치아 및 조직에 영향을 줄 수 있기 때문입니다.
어금니 크라운 후에는 통증을 완화하기 위한 여러 가지 관리 방법이 있습니다. 첫 번째로, 의사가 처방한 진통제를 복용하여 통증을 줄일 수 있습니다. 두 번째로, 지나치게 뜨겁거나 차가운 음식은 자제하고, 부드러운 음식을 섭취하는 것이 좋습니다. 이는 치아가 빠르게 치유될 수 있도록 돕는 방법입니다.
어금니 크라운 가격과 종류
어금니 크라운의 가격은 재료에 따라 차이가 심합니다. 예를 들어, 금속으로 제작된 어금니 크라운은 상대적으로 저렴하지만, 지르코니아나 세라믹으로 만든 크라운은 더 비쌉니다. 어금니 크라운 가격은 이외에도 시술을 받는 치과의 위치와 전문성 등 여러 요소에 따라 달라질 수 있습니다. 대체로 가격은 30만 원에서 100만 원 사이에서 형성됩니다.
어금니 크라운은 주로 세 가지 종류로 나눌 수 있습니다. 첫 번째는 금속 크라운으로, 내구성이 뛰어나지만 미적인 면에서는 떨어질 수 있습니다. 두 번째는 세라믹 크라운으로, 자연 치아와 유사한 아름다움을 제공하며, 주로 앞니에 사용됩니다. 마지막으로 지르코니아 크라운은 강도와 심미성을 모두 갖춘 대표적인 선택지로, 현재 많은 환자에게 선호되고 있습니다.
어금니 크라운의 재신경치료 비용
어금니 크라운을 시술하기 전에 이미 신경 치료가 필요한 경우가 있을 수 있습니다. 이때는 어금니 크라운 재신경치료 비용이 추가로 발생합니다. 대개 재신경 치료는 10만 원에서 30만 원 사이로 책정되며, 치료의 복잡도와 치과의 시설에 따라 차이가 있을 수 있습니다. 따라서 치료 전 정확한 비용 안내를 받는 것이 중요합니다.
어금니 신경치료 후 크라운을 시술할 경우, 신경 치료 이후의 상태를 잘 파악해야 합니다. 경우에 따라 추가적인 치료가 필요할 수 있으며, 이에 따른 추가 비용이 발생할 수 있다는 점도 유의해야 합니다. 신경 치료를 받은 후에는 치아의 기능과 건강 상태를 잘 유지하는 것이 크라운의 내구성에도 긍정적인 영향을 미칩니다.
어금니 크라운 수명과 관리 주의사항
어금니 크라운의 수명은 사용한 재료에 따라 다르지만, 대개 5년에서 15년까지 지속됩니다. 그러나 크라운의 수명을 늘리기 위해서는 적절한 관리가 요구됩니다. 치간 칫솔이나 치실을 이용한 청결 관리와 정기적인 치과 검진을 통해 크라운 주변의 상태를 점검하는 것이 필요합니다.



어금니 크라운을 오래 사용하기 위해서는 부주의한 식습관도 피하는 것이 좋습니다. 너무 단단한 음식이나 과도하게 노출되는 설탕은 크라운에 부정적인 영향을 미칠 수 있으며, 이로 인해 크라운이 파손되는 경우도 있습니다. 따라서 이와 같은 생활 습관은 가급적이면 지양하는 것이 중요합니다.


어금니 크라운 비용 연표 및 요약
| 크라운 종류 | 평균 비용 | 특징 |
|---|---|---|
| 금속 크라운 | 30만 - 50만 원 | 내구성이 뛰어남 |
| 세라믹 크라운 | 70만 - 100만 원 | 자연 치아와 유사한 외관 |
| 지르코니아 크라운 | 80만 - 150만 원 | 높은 강도와 미적 효과 |
어금니 크라운은 여러 가지 이유로 필요한 경우가 많습니다. 치과 치료를 받고자 하는 준비가 되셨다면, 필요한 정보와 비용에 대한 정확한 파악을 통해 후회 없는 선택을 하실 수 있습니다.



이런 글도 읽어보세요
연세대학교 편입 준비, 2025년 최신 팁 공개
연세대학교 편입학 모집요강연세대학교 편입학은 매년 많은 학생들에게 꿈의 목표가 되어왔습니다. 2025년에는 더욱 많은 학생들이 연세대학교 편입을 목표로 삼게 될 것입니다. 모집 요강은 해
j120.jhctown.com
장제원 전 의원 사망…성폭력 혐의 수사 중 극단적 선택, 그 이후는?
정치인의 비극적 퇴장, 그리고 남겨진 질문들2025년 3월 31일 밤, 전 국민의힘 의원 장제원 씨가 서울 강동구의 오피스텔에서 숨진 채 발견되었습니다. 그에게는 최근까지 성폭력 혐의로 경찰 수
j120.jhctown.com
네이버 콩, 최근 인기 비결은 뭘까?
네이버 콩의 매력, 무엇인지 분석해보자요즘 네이버 콩이 많은 사람들 사이에서 인기를 끌고 있어요. 그 비결은 뭘까요? 음식이든 상품이든 간에 인기의 요인은 여러 가지가 있지만, 네이버 콩
j120.jhctown.com
자주 묻는 질문 (FAQ)
Q1: 어금니 크라운 시술 후 통증이 있다면 어떻게 해야 하나요?
A1: 어금니 크라운 시술 후 통증은 일시적인 경우가 많습니다. 그러나 통증이 심하거나 계속된다면 즉시 치과에 방문하여 진찰을 받는 것이 좋습니다.
Q2: 어금니 크라운의 수명은 얼마나 되나요?
A2: 어금니 크라운의 수명은 사용한 재료에 따라 다르지만 보통 5년에서 15년 정도 지속됩니다. 적절한 관리가 수명을 늘려줍니다.
Q3: 어금니 크라운 비용은 어떻게 되나요?
A3: 어금니 크라운의 비용은 재료에 따라 평균 30만 원에서 150만 원까지 다양합니다. 병원에 따라 차이가 있을 수 있으니 사전에 확인하는 것이 좋습니다.